HealthMantra   |   Endo homepage   |Dentist Page   |
     Endo Course   |    Rotary Types   |    About Academy  
|    Contac Us   |    Dentists    

Endodontic Retreatment

Read on or click on the links on your Right.

Endodontic retreatment is a procedure performed on a tooth that has received prior attempted definitive treatment resulting in a condition requiring further endodontic treatment to achieve a successful result. Many specialists note that 30 to 50% of their practice is retreatment. The objective is to perform endodontic therapy in order to return the treated tooth to function and comfort and to allow the supporting structures to repair completely. The major factor affecting the success/failure ratio here is the operator’s skill.

Careful case evaluation and treatment planning is the key to any successful outcome. Case selection for endodontic retreatment is based on restorability, periodontal condition, and the capability of superceding anatomic anomalies such as calcific, prosthetic, iatrogenic obstructions, and unusual canal morphology etc. The strategic value of the tooth as well as alternative treatment options must be considered. As long as these factors are assessed favourably and the economics is practical for the patient, the primary treatment consideration for endodontic failure should always be retreatment.

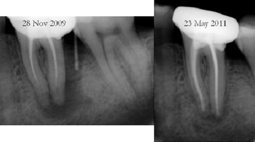
See the pics below of a successful retreatment, fig 3 is pre and fig 4 is post treatment

Successful retreatment requires elimination of bacteria which is achieved by cleaning canals to correct apical sizes, when done correctly it can be very rewarding for the dentist and patient, see the bone formation leading to almost complete healing, pic below- Continue to READ MORE

MORE COMING SOON ON THIS PAGE