Implant or Endo ? Dentist on UK Television, Is Ceph needed ? 022 or 018 slot, 3 D TV in your home,
Indian Dentist (Millionaire) from UK in Dharavi for a UK TV Show
Seema has just returned from Mumbai in India, where she took part in a special one-off programme in the Channel 4 Secret Millionaire series, which involves successful business people going undercover in deprived areas, then doling out cash to those they believe need their financial help.
Slumdog Secret Millionaire saw Seema, whose family originally came from the Punjab, return to India, cheque book in hand. MORE HERE
Which Slot 018 or 022 Straight Wire orthodontics
Objective: To determine if there is a significant difference in the clinical outcomes of cases treated with 0.018-inch brackets vs 0.022-inch brackets according to the American Board of Orthodontics (ABO) Objective Grading System (OGS).Seema has just returned from Mumbai in India, where she took part in a special one-off programme in the Channel 4 Secret Millionaire series, which involves successful business people going undercover in deprived areas, then doling out cash to those they believe need their financial help.
Slumdog Secret Millionaire saw Seema, whose family originally came from the Punjab, return to India, cheque book in hand. MORE HERE
Which Slot 018 or 022 Straight Wire orthodontics
Treatment time and the ABO-OGS standards in alignment/rotations, marginal ridges, buccolingual inclination, overjet, occlusal relationships, occlusal contacts, interproximal contacts, and root angulations were used to compare clinical outcomes between a series of 828 consecutively completed orthodontic cases (2005–2008) treated in a university graduate orthodontic clinic with 0.018-inch- and 0.022-inch-slot brackets.
Conclusions: There were statistically, but not clinically, significant differences in treatment times and in total ABO-OGS scores in favor of 0.018-inch brackets as compared with the 0.022-inch brackets in a university graduate orthodontic clinic (2005–2008). FULL PAPER
Obstructive sleep apnoea (OSA) can be diagnosed with urine test
"It was rather unexpected that the urine would provide us with the ability to identify OSA" said Dr David Gozal, who led the research.
"If we can develop this further we might be able to screen children for OSA for a fraction of the cost of keeping them in a sleep clinic overnight, and it would overcome the huge waiting lists for such screening." MORE HERE
Validity of Soft tissue cephalometrics ? Is Ceph needed to plan orthodontic treatment ?
World J Orthod 2009;10:301–304. Following conclusions were drawn from this study:
- Soft tissue analysis showed that measurements extracted from lateral cephalometric radiographs do not represent the true values to be found in a particular patinet.
- A single magnification factor can not be applied as a correction factor for the lateral cephalometric soft tissue measurements.
Another study has earlier shown (European Journal of Orthodontics 30 (2008) 630–635) that cephalometrics are not required for orthodontic treatment planning, as they did not influence treatment decisions.
Now use Wood as bone substitute
Scientists in Italy have developed a way of turning rattan wood into bone that is almost identical to the human tissue.
At the Istec laboratory of bioceramics in Faenza near Bologna, a herd of sheep have already been implanted with the bones.
The process starts by cutting the long tubular rattan wood up into manageable pieces.It is then snipped into even smaller chunks, ready for the complex chemical process to begin.The pieces are put in a furnace and heated.In simple terms, carbon and calcium are added.
The wood is then further heated under intense pressure in another oven-like machine and a phosphate solution is introduced. MORE HERE
Implants or Endodontics ? What is ethical.
Int Endo J 2009This review describes practical criteria and a systematic process to aid the treatment planning decision of whether to preserve teeth by root canal treatment (RCT) or extract and provide an implant.Recommendations presented are based on best available evidence from the literature and the expert views of specialists in endodontics and restorative dentistry, including dental implantology.
For single tooth restorations,an increased risk in restoring a tooth with a questionable prognosis acceptable in a particular case.The respective tooth, however,should not be included as an abutment in a long-span FDP.
Bone loss around dental implants
Bone loss around dental implants is far more common than previously realised, reveals a thesis from the Sahlgrenska Academy at the University of Gothenburg, Sweden. Around a quarter of patients loose some degree of supporting bone around their implants.600 patients were studied, 28 per cent -- of patients had lost some degree of supporting bone around their implants. "Contrary to what we had previously assumed, the bone loss in these patients was not linear, but instead accelerated with time," Fransson said in a statement. "This is a new discovery that shows just how important it is to detect and treat bone loss around implants at an early stage." More HERE
Orthodontic applications of Laser by David Sarver
For orthodontic procedures, lasers are now being used to reshape gingival soft tissues for esthetic finishing and solve issues involving altered tooth eruption. This technology is significantly and efficiently improving the design, health, and overall appearance of orthodontic patients’ smiles, while enhancing the chairside experience. Orthodontists’ interest in smile design has dramatically increased as a result of both their collaboration with dentists in interdisciplinary treatment and as the potential of laser-assisted dentistry is more readily understood by orthodontists. The 810 nm diode laser, which has numerous benefits for orthodontic treatments. It is manageable in size and low in cost. Because in most cases only topical anesthesia is necessary. FULL PAPER on REQUEST.Micromimplants for periodontally compromised patients
World J Orthod 2009;10:350–360.
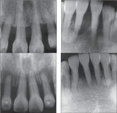
Gradual intrusion of the maxillary and mandibular anterior teeth was achieved with a relatively simple orthodontic force system. A significant profile improvement was observed during the 18 months of treatment due to the retraction and intrusion of the incisors in both arches. This intrusion was accomplished without any sign of apical root resorption. The mandibular incisors were uprighted 6.5 degrees, and their maxillary counterparts were uprighted 13.4 degrees. The 2-year follow-up examination revealed a stable result with an increase in periodontal attachment as well as esthetics and function. Conclusion: A combined orthodontic, periodontic, and restorative treatment approach with adequate patient motivation can lead to improved masticatory function, esthetics, and periodontal conditions. Order Microimplant kit NOW
See the pre and post treatment pics and radiographs below:
The effects of lavender scent on dental patient anxiety
Community Dentistry and Oral Epidemiology-Volume 38 Issue 1, Pages 83 - 87
In a cluster randomized-controlled trial, patients' (N = 340) anxiety was assessed while waiting for a scheduled dental appointment, either under the odor of lavender or with no odor. Current anxiety, assessed by the brief State Trait Anxiety Indicator (STAI-6), and generalized dental anxiety, assessed by the Modified Dental Anxiety Scale (MDAS) were examined.
Analyses of variance (anovas) showed that although both groups showed similar, moderate levels of generalized dental anxiety (MDAS F(1,338) = 2.17, P > 0.05) the lavender group reported significantly lower current anxiety (STAI: F(1,338) = 74.69, P < 0.001) than the control group.
Conclusions: Although anxiety about future dental visits seems to be unaffected, lavender scent reduces present state of anxiety in dental patients.
Tooth decay in children has reached “epidemic” proportions in Australia
According to a report in the Daily Telegraph, tooth decay has reached “epidemic” proportions in NSW, with dental experts saying that teeth deterioration is forcing an increasing number of toddlers, as young as 18 months, to undergo dental work which entails expenditure in thousands of dollars.
Going by the information forwarded by dental experts, parents are spending up to $5,000 on crowns for their children whose teeth start showing signs of deterioration even before they start going to preschool.
More HERE
Tooth loss and intakes of nutrients and foods: a nationwide survey of Japanese dentists
Community Dentistry and Oral Epidemiology Volume 38 Issue 1, Pages 43 - 49
This study analyzed the data from 20 366 Japanese dentists (mean age ± SD, 52.2 ± 12.1 years; women 8.0%) who participated in a nationwide cohort study from 2001 to 2006. The baseline questionnaire included a validated food-frequency questionnaire to estimate intakes of foods and nutrients. We computed the geometric means of daily intakes by the number of teeth, adjusting for age, sex, smoking, physical activity, and history of diabetes.
Conclusions: Tooth loss was linked with poorer nutrition even among dentists.
3 D TV to arrive in your home soon
"While 3D has taken a number of years to penetrate in the movie theatres, I believe this is the year -2010 it will begin to enter the home," Jeffrey Katzenberg, the head of Dreamworks Animation told BBC News.
Panasonic revealed a tie-up with top US satellite provider DirecTV to launch three high-definition 3D TV channels by June to try and jump-start demand for 3D TVs and content. MORE FROM BBC




0 Comments:
Post a Comment
<< Home